本文へスキップ

電話でのご予約・お問い合わせはTEL.099-278-7070

〒899-2704 鹿児島市春山町1886-16

ホワイトニング

ご自宅でご自身のペースで好きな時間にすることのできる
                     ホームホワイトニング

    「白く綺麗な歯」ホームホワイトニングでつくりませんか

ホームホワイトニングはこのような方におすすめです!!
  歯を一生懸命磨いても白くならない…     芸能人の様な白い歯に憧れる…
  まわりの人より歯の色が黄色い気がする…    近々結婚式やパーティー等があり、
  年齢とともに歯が黄色くなってきた気がする…             白い綺麗な歯になりたい…



 日本人の歯は欧米人よりも黄色い色をしています。また加齢や嗜好品の着色により、徐々に黄色みが増していきます。本来これが日本人の歯の色なのですが、近年芸能人の綺麗な白い歯のように歯を白くしたい人が増え、ホワイトニングをする方が増えています。
 白く輝く歯は相手により良いイメージを与えるのにとても効果があり、歯が綺麗だと自分の笑顔に自信を持つことができます。いろんな方とのコミュニケーションが増えた現代では、白く綺麗な歯は大切なことでしょう。

当院のホワイトニングはご自宅で、自分の生活のペースに合わせてすることのできるホワイトニングです。
患者さま専用のマウストレーを作り、そこへ専用のホワイトニング剤を入れ、歯に装着して行います。
頻繁に通院する必要がなく、一日二時間程度の時間でできるため、本を読みながら、テレビを見ながら、家事や仕事をしながら簡単にホワイトニングすることができます。
  


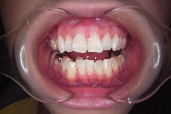
                  当院でのホワイトニング治療の実例
  
       ホワイトニング前                       ホワイトニング後
          


    
       ホワイトニング前                      ホワイトニング後
          



              ホワイトニング中の注意 

   ホワイトニングをしている期間は、歯の表面を覆っている膜がなくなり、一時的に過敏な状態です。
   色素の濃いもの(お茶類・たばこ・コーヒー)や、あくの強い物(牡蠣・ぶどう・ほうれん草)などは  
   えて下さい。ホワイトニング期間は、一時的にしみる痛み(知覚過敏)がでる場合があります。
   ホワイトニング中はワインや喫煙は控えて下さい。



                  効果と継続期間
   歯質や歯の状態によってはホワイトニング効果が出にくい方もいらっしゃいます。
   またホワイトニング効果の持続期間は歯質や体質、生活習慣により個人差があります。
   定期的な歯科医院でのメンテナンスや、定期的なホワイトン具で白く綺麗な歯を持続させることができま
   す。

     




                   ホワイトニングの手順

     ホワイトニングの説明   (歯科医院で)
       
        ホームホワイトニングについての方法や注意点などの説明をします。
        不安な点やご質問などお気軽にお尋ねください  

  
     お口の中の検査      (歯科医院で)

        お口の健康状態をチェックします。その結果必要な場合にはホワイトニングと同時進行で治療を
        行う場合もあります。

  
    歯の色の確認       (歯科医院で)

       ホワイトニング前の歯の色を確認するため、歯の表面をクリ
       ーニングして、茶渋など着色をおとし、本来の色にします。
       その後、シェードガイドという歯の色の見本を使い、現在の
       歯の色の確認をします。
       また、ホワイトニングの効果をわかりやすくするため、ホワ
       イトニング前の歯の色の色調を、デジタルカメラで記録しま
       す。
  
     マウストレーの作製   (歯科医院で)

       患者さま専用のホワイトニングジェルを塗布するマウストレ
       ーを作るため、型を採ります。
       マウストレーが出来上がりましたら、その際またご来院いた
       だきます
  
   
     マウストレーの完成   (歯科医院で)

       出来上がったマウストレーとホワイトニングキットをお渡し
       します。その際ホワイトニングキットの使用方法、ホワイト
       ニング中の注意等を説明いたします。
       疑問点などありましたら、お気軽にお尋ねください
  
      ご自宅でホワイトニング  (ご自宅で)

        一日二時間程度ホワイトニングジェルをマウストレーに注入して装着してください。ホワイトニ
        ングジェルが歯の表面にいきわたっているのを確認し、トレーからジェルがあふれ出した場合には
        ティッシュ等でふき取ってください。
        ご自宅でご自身の生活スタイルに合わせてホワイトニングを行ってください。


        
  
      経過の確認       (歯科医院で)

        定期的に来ていただくことで、ホワイトニング効果をシェ
        ードガイドやデジタルカメラでの撮影によって比較しなが
        ら、確認することができます。


 このページの先頭へ

KUBO Dental clinic(医)久栄会 くぼ歯科クリニック

〒899-2704
鹿児島市春山町1886-16
TEL 099-278-7070
FAX 099-278-7070